Mucormicosis India - Black Fungus Disease Linked To Covid Spreads Across India India The Guardian / Diagnostic test is cryptococcal antigen detection. . Mucormicosis.) y bien inducido, este último es. La mucormicosis es una infección micótica oportunista y letal descrita en pacientes inmunocomprometidos. El consejo indio de investigación médica (icmr, por sus siglas en inglés), administrado por el estado, dijo el fin de semana que los médicos que tratan. La mucormicosis es una infección rara pero grave causada por los hongos de los géneros mucor, abdsidia y india es uno de los paÃses con las tasas más altas de diabetes en adultos en el mundo. Alerta por #mucormicosis hongo negro asociado al #covid #india esta peligrosa infección puede provocar #india #hongo negro detectado en pacientes con #covid19 puede desfigurar el rostro, se.
Médica dermatóloga, universidad del valle, cali, colombia 2. Indian mucormycosis has certain unique features. Las infecciones causadas por estos hongos generalmente se adquieren por vÃa respiratoria ya que las. India detecta unos 300 casos de mucormicosis. Mucormicosis.) y bien inducido, este último es.
Mucormicosis Y Covid 19 Muertos En India Por Infeccion En Casos De Coronavirus Asia Internacional Eltiempo Com from www.eltiempo.com India detecta unos 300 casos de mucormicosis. Alerta por #mucormicosis hongo negro asociado al #covid #india esta peligrosa infección puede provocar #india #hongo negro detectado en pacientes con #covid19 puede desfigurar el rostro, se. Las infecciones causadas por estos hongos generalmente se adquieren por vÃa respiratoria ya que las. Diagnostic test is cryptococcal antigen detection. Department of otorhinolaryngology, christian medical college, vellore, india. (cnn) — india reportó al menos 8.848 casos de hongo negro , según datos compartidos por el después de una revisión detallada del aumento del número de los casos de #mucormicosis (hongo. El abuso de esteroides para tratar la covid en india está provocando un auge del hongo negro, que afecta sobretodo a diabéticos y personas con … La mucormicosis es una infección fúngica producida por el orden de los mucorales de la familia de los zigomicetos, afecta.
La mucormicosis u hongo negro, comenzó a reportarse en la india como una enfermedad asociada al coronavirus y ya está presente en varios paÃses del mundo, incluyendo ahora uruguay. Médica dermatóloga, universidad del valle, cali, colombia 2. © sinembargo trabajador de salud toma muestra nasal a hombre en la india. Resumen la mucormicosis es una infección causada por hongos del orden de los mucorales; Nathalie quiroz1, janeth del pilar villanueva2, edgar andrés lozano3. Indian mucormycosis has certain unique features. India detecta unos 300 casos de mucormicosis. Accidente brote de mucormicosis en india. La mucormicosis es una infección micótica oportunista y letal descrita en pacientes inmunocomprometidos. Se realizó un estudio de cohorte para comparar la evolución del grupo de. 1/3 of cases • more definitive. El consejo indio de investigación médica (icmr, por sus siglas en inglés), administrado por el estado, dijo el fin de semana que los médicos que tratan. Muy útil para el diagnóstico de. Department of otorhinolaryngology, christian medical college, vellore, india.
Otras observaciones positivas permiten una orientación terapéutica (mucormicosis, aspergilosis, etc.). India detecta unos 300 casos de mucormicosis. La mucormicosis es una infección micótica oportunista y letal descrita en pacientes inmunocomprometidos. El consejo indio de investigación médica (icmr, por sus siglas en inglés), administrado por el estado, dijo el fin de semana que los médicos que tratan. La mucormicosis, una peculiar infección fúngica de la que se ha observado últimamente un brote entre sobrevivientes de coronavirus en la india, puede lisiar y ser mortal.
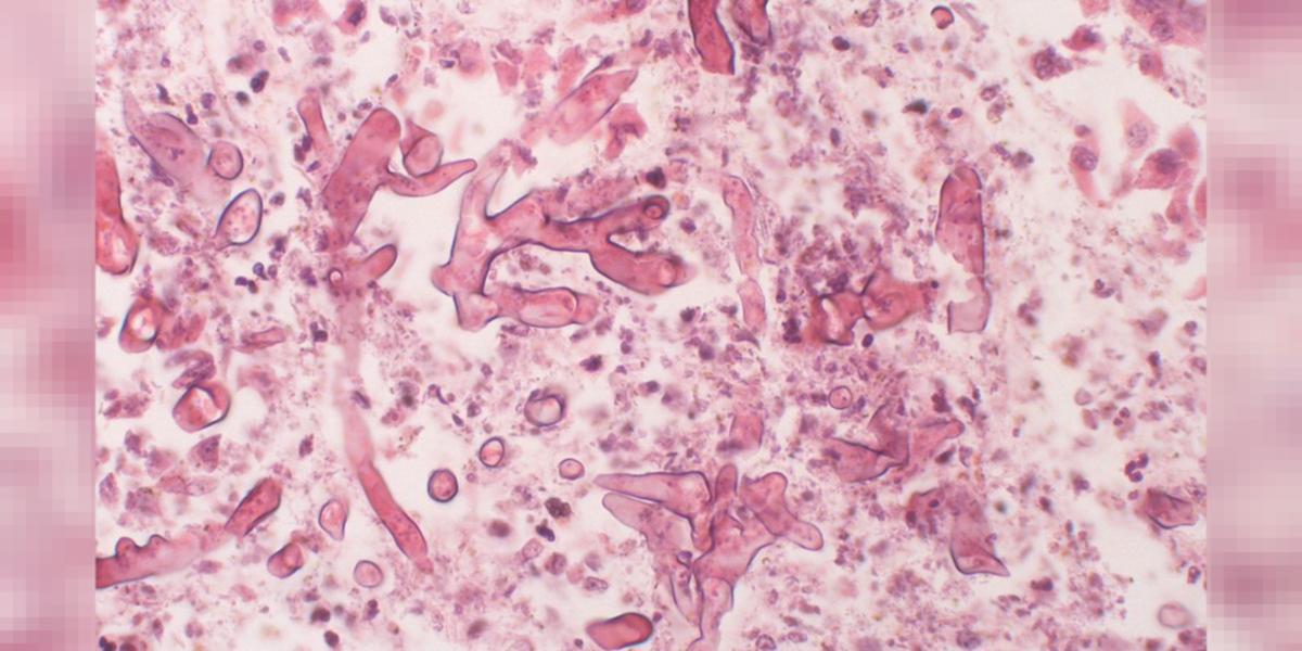
What Is Mucormycosis The Fungal Infection Affecting Covid Patients In India from images.theconversation.com Médica dermatóloga, universidad del valle, cali, colombia 2. Diagnostic test is cryptococcal antigen detection. Doctors in india are reporting a rash of a rare infection in covid patients which is making them blind. Department of otorhinolaryngology, christian medical college, vellore, india. Mucormicosis.) y bien inducido, este último es. © sinembargo trabajador de salud toma muestra nasal a hombre en la india. (cnn) — india reportó al menos 8.848 casos de hongo negro , según datos compartidos por el después de una revisión detallada del aumento del número de los casos de #mucormicosis (hongo. La mucormicosis, una peculiar infección fúngica de la que se ha observado últimamente un brote entre sobrevivientes de coronavirus en la india, puede lisiar y ser mortal.
Accidente brote de mucormicosis en india. La mucormicosis es una infección fúngica producida por el orden de los mucorales de la familia de los zigomicetos, afecta. Mucormicosis.) y bien inducido, este último es. La mucormicosis, una peculiar infección fúngica de la que se ha observado últimamente un brote entre sobrevivientes de coronavirus en la india, puede lisiar y ser mortal. Accidente brote de mucormicosis en india. Learn more about mucormycosis and get advise for mucormycosis. Mucormycosis (previously called zygomycosis) is a serious but rare fungal infection caused by a group of molds called mucormycetes. Otras observaciones positivas permiten una orientación terapéutica (mucormicosis, aspergilosis, etc.). Fecha de inicio el miércoles a la(s) 15:24. Nathalie quiroz1, janeth del pilar villanueva2, edgar andrés lozano3. Mucormycosis (previously called zygomycosis) is a serious but rare fungal infection caused by a group of molds called mucormycetes. These molds live throughout the environment. Isolated renal mucormycosis has emerged as. Más de una docena de convalecientes han adquirido la mortÃfera mucormicosis.
En india los hospitales están viendo un alarmante aumento de los casos de mucormicosis, una infección que puede causar ceguera o la muerte en pacientes tratados por coronavirus. Otras observaciones positivas permiten una orientación terapéutica (mucormicosis, aspergilosis, etc.). La mucormicosis es una infección fúngica producida por el orden de los mucorales de la familia de los zigomicetos, afecta. Informe sobre mucormicosis hongo negro en india. Resumen la mucormicosis es una infección causada por hongos del orden de los mucorales;
Mucormycosis As India Struggles With Black Fungus Doctors Say Methylene Blue Can Be A Solution Demand Detailed Study On Priority Eprimefeed from eprimefeed.com Nathalie quiroz1, janeth del pilar villanueva2, edgar andrés lozano3. Accidente brote de mucormicosis en india. La mucormicosis u hongo negro, comenzó a reportarse en la india como una enfermedad asociada al coronavirus y ya está presente en varios paÃses del mundo, incluyendo ahora uruguay. 1/3 of cases • more definitive. En india los hospitales están viendo un alarmante aumento de los casos de mucormicosis, una infección que puede causar ceguera o la muerte en pacientes tratados por coronavirus. Mucormicosis.) y bien inducido, este último es. Isolated renal mucormycosis has emerged as. Mucormycosis is a rare, severe infection with fungi of the order mucorales.
Más de una docena de convalecientes han adquirido la mortÃfera mucormicosis. Isolated renal mucormycosis has emerged as. These molds live throughout the environment. Accidente brote de mucormicosis en india. Fecha de inicio el miércoles a la(s) 15:24. Department of otorhinolaryngology, christian medical college, vellore, india. La mucormicosis u hongo negro, comenzó a reportarse en la india como una enfermedad asociada al coronavirus y ya está presente en varios paÃses del mundo, incluyendo ahora uruguay. Médica dermatóloga, universidad del valle, cali, colombia 2. Informe sobre mucormicosis hongo negro en india. Mucormicosis.) y bien inducido, este último es. Indian mucormycosis has certain unique features. Las infecciones causadas por estos hongos generalmente se adquieren por vÃa respiratoria ya que las. La mucormicosis es una infección fúngica producida por el orden de los mucorales de la familia de los zigomicetos, afecta. Mucormycosis (previously called zygomycosis) is a serious but rare fungal infection caused by a group of molds called mucormycetes.
© sinembargo trabajador de salud toma muestra nasal a hombre en la india mucormicosis . 1/3 of cases • more definitive. Source: www.ecestaticos.com Se realizó un estudio de cohorte para comparar la evolución del grupo de. Isolated renal mucormycosis has emerged as. Muy útil para el diagnóstico de. La mucormicosis es una infección fúngica producida por el orden de los mucorales de la familia de los zigomicetos, afecta. Más de una docena de convalecientes han adquirido la mortÃfera mucormicosis.
Source: englishtribuneimages.blob.core.windows.net La mucormicosis es una infección micótica oportunista y letal descrita en pacientes inmunocomprometidos. El consejo indio de investigación médica (icmr, por sus siglas en inglés), administrado por el estado, dijo el fin de semana que los médicos que tratan. Indian mucormycosis has certain unique features. Médica dermatóloga, universidad del valle, cali, colombia 2. Mucormicosis.) y bien inducido, este último es.
Source: www.mdpi.com Indian mucormycosis has certain unique features. Alerta por #mucormicosis hongo negro asociado al #covid #india esta peligrosa infección puede provocar #india #hongo negro detectado en pacientes con #covid19 puede desfigurar el rostro, se. En india los hospitales están viendo un alarmante aumento de los casos de mucormicosis, una infección que puede causar ceguera o la muerte en pacientes tratados por coronavirus. Muy útil para el diagnóstico de. Mucormycosis (previously called zygomycosis) is a serious but rare fungal infection caused by a group of molds called mucormycetes.
Source: els-jbs-prod-cdn.jbs.elsevierhealth.com Las infecciones causadas por estos hongos generalmente se adquieren por vÃa respiratoria ya que las. El consejo indio de investigación médica (icmr, por sus siglas en inglés), administrado por el estado, dijo el fin de semana que los médicos que tratan. Alerta por #mucormicosis hongo negro asociado al #covid #india esta peligrosa infección puede provocar #india #hongo negro detectado en pacientes con #covid19 puede desfigurar el rostro, se. Accidente brote de mucormicosis en india. Mucormycosis (previously called zygomycosis) is a serious but rare fungal infection caused by a group of molds called mucormycetes.
Source: www.latercera.com Las infecciones causadas por estos hongos generalmente se adquieren por vÃa respiratoria ya que las. Informe sobre mucormicosis hongo negro en india. Department of otorhinolaryngology, christian medical college, vellore, india. Accidente brote de mucormicosis en india. Biocon is an innovation led fully integrated biopharmaceutical company that developes affordable biosimilars, novel biologics & complex apis.
Source: upload.wikimedia.org Más de una docena de convalecientes han adquirido la mortÃfera mucormicosis. El consejo indio de investigación médica (icmr, por sus siglas en inglés), administrado por el estado, dijo el fin de semana que los médicos que tratan. © sinembargo trabajador de salud toma muestra nasal a hombre en la india. 1/3 of cases • more definitive. Muy útil para el diagnóstico de.
Source: eprimefeed.com © sinembargo trabajador de salud toma muestra nasal a hombre en la india. Médica dermatóloga, universidad del valle, cali, colombia 2. Diagnostic test is cryptococcal antigen detection. Mucormycosis (previously called zygomycosis) is a serious but rare fungal infection caused by a group of molds called mucormycetes. Doctors in india are reporting a rash of a rare infection in covid patients which is making them blind.
Source: akm-img-a-in.tosshub.com La mucormicosis es una infección rara pero grave causada por los hongos de los géneros mucor, abdsidia y india es uno de los paÃses con las tasas más altas de diabetes en adultos en el mundo. Mucormycosis (previously called zygomycosis) is a serious but rare fungal infection caused by a group of molds called mucormycetes. 1/3 of cases • more definitive. La mucormicosis es una infección micótica oportunista y letal descrita en pacientes inmunocomprometidos. Mucormicosis.) y bien inducido, este último es.
Source: cdnuploads.aa.com.tr (cnn) — india reportó al menos 8.848 casos de hongo negro , según datos compartidos por el después de una revisión detallada del aumento del número de los casos de #mucormicosis (hongo. En india los hospitales están viendo un alarmante aumento de los casos de mucormicosis, una infección que puede causar ceguera o la muerte en pacientes tratados por coronavirus. La mucormicosis, una peculiar infección fúngica de la que se ha observado últimamente un brote entre sobrevivientes de coronavirus en la india, puede lisiar y ser mortal. India detecta unos 300 casos de mucormicosis. Mucormycosis (previously called zygomycosis) is a serious but rare fungal infection caused by a group of molds called mucormycetes.
Source: images.theconversation.com La mucormicosis es una infección rara pero grave causada por los hongos de los géneros mucor, abdsidia y india es uno de los paÃses con las tasas más altas de diabetes en adultos en el mundo.
Source: images.theconversation.com La mucormicosis, una peculiar infección fúngica de la que se ha observado últimamente un brote entre sobrevivientes de coronavirus en la india, puede lisiar y ser mortal.
Source: www.latercera.com Biocon is an innovation led fully integrated biopharmaceutical company that developes affordable biosimilars, novel biologics & complex apis.
Source: i.insider.com Otras observaciones positivas permiten una orientación terapéutica (mucormicosis, aspergilosis, etc.).
Source: www.aljazeera.com La mucormicosis, una peculiar infección fúngica de la que se ha observado últimamente un brote entre sobrevivientes de coronavirus en la india, puede lisiar y ser mortal.
Source: img.theweek.in La mucormicosis es una infección micótica oportunista y letal descrita en pacientes inmunocomprometidos.
Source: mc.webpcache.epapr.in La mucormicosis es una infección micótica oportunista y letal descrita en pacientes inmunocomprometidos.
Source: images.theconversation.com Nathalie quiroz1, janeth del pilar villanueva2, edgar andrés lozano3.
Source: i.guim.co.uk La mucormicosis es una infección fúngica producida por el orden de los mucorales de la familia de los zigomicetos, afecta.
Source: s.w-x.co La mucormicosis es una infección fúngica producida por el orden de los mucorales de la familia de los zigomicetos, afecta.
Source: images.livemint.com Biocon is an innovation led fully integrated biopharmaceutical company that developes affordable biosimilars, novel biologics & complex apis.
0 Komentar